ホワイトニング
当院のホワイトニングの特徴
当院のホワイトニングは
1回の施術を基本としています。
院内で行なうオフィスホワイトニングを中心に、ホームホワイトニングを組み合わせて白さを追求していきます。
ホワイトニングで得られる白さの追求はもちろん、どうしても起こってしまう後戻りや短期間の知覚過敏などにも適切に対応いたします。
また、オフィスホワイトニングは前回の施術後1年以内であれば、ご希望の方に11,000円(税込)で再施術(リタッチ)を行なっております。
施術後、もう少し白くしたい、半年後にもう一度白くしたいなどのご要望もお気軽にお申し付けください。
歯への影響が少ない
ホワイトニングシステムを採用
ビヨンドシステム、ティオンシステムなどに代表される光を触媒とする歯への影響が少ないホワイトニングシステムを採用しております。長期的な歯への影響はほぼありません。
また、施術後に中性のフッ素によるコーティングを施す事により、短期的な影響を除外するだけでなく、歯の強化も行なう事ができます。
ホームホワイトニングと
オフィスホワイトニングの違い
| 比較 | ホーム ホワイトニング |
オフィス ホワイトニング |
|---|---|---|
| 主な 施術場所 |
自宅 | 歯科医院 |
| 白くなる までの期間 |
1日2時間の ホワイトニングを 約2週間〜 |
1回の来院 (1~2時間程度) |
| 手軽さ | 効果が出るまで 継続が必要 |
1回の来院で 完了する |
| 効果の 持続 |
緩やかに 色を変えるため、 効果は長い間 持続します。 |
急激に色を 変えるため、 ホームホワイト ニングより 効果の持続は やや劣ります。(※) |
| 安全性 | 高い安全性が 証明されています。 しかし、稀に歯が しみる場合が あります。 |
高い安全性が 証明されています。 しかし、稀に歯が しみる場合が あります。 また、2~3日間、 舌・唇・歯茎に 腫れや違和感が 出る場合が あります。 |
| こんな方に オススメ |
効果の持続を 最も重視される方 |
即効性を 求める方 |
※ オフィスホワイトニング後に、ホームホワイトニングを併用することで、非常に長い間効果を持続させることができます。
選べる3つの
ホワイトニングプラン
患者様のご要望、ご都合にあわせて、3つのホワイトニングプランをご用意いたしております。
| 白く なりやすさ |
持続期間 | お手軽さ | 費用 | |
|---|---|---|---|---|
| ①ホーム ホワイト ニング |
★ | ★★ | ★ | ¥27,500 |
| ②オフィス ホワイト ニング |
★★ | ★ | ★★ | ¥33,000 |
| ③デュアル ホワイト ニング |
★★★ | ★★★ | ★★★ | ¥55,000 |
ゆっくり白く、白さ長持ち
① ホームホワイトニング
ご自宅で行うホワイトニングで、オフィスホワイトニングよりもゆっくり長く効く薬を使います。
ゆっくり白くなりますが、白さが長持ちします。
| 白くなりやすさ | ★ |
|---|---|
| 持続期間 | ★★ |
| お手軽さ | ★ |
| 費用 | ★★★ |
ホームホワイトニングの流れ
-
- 【医院にて】
カウンセリング、
歯の色のチェック - まずは医院にてカウンセリングを行います。
その後、口腔全体の診査と適応症についての確認を行い、現在の歯の色をチェックします。
治療していく前に検査を行い、1人1人に適した治療を行っていきます。
- 【医院にて】
-
- 【医院にて】マウストレー作製
- 患者様専用のホームホワイトニング用のマウストレーを作製します。
-
- 【ご自宅にて】歯の清掃
- 歯ブラシ・デンタルフロス等を用いて、通常通りの歯磨きを行います。
-
- 【ご自宅にて】
マウストレーの準備 - ホワイトニングジェルをマウストレーに流し込みます。
- 【ご自宅にて】
-
- 【ご自宅にて】
マウストレーの装着 - ホワイトニングジェルの入ったマウストレーを歯に装着します。
- 【ご自宅にて】
-
- 【ご自宅にて】
余分なジェルを落とす - 歯ブラシ、ティッシュ等で余分なホワイトニングジェルを取り除き、口をすすぎます。
ホームホワイトニングは、1日2時間~4時間が目安です。
マウストレーは透明でやわらかい素材なので、装着中も差し支えなく会話等していただけます。
- 【ご自宅にて】
料金
| ホームホワイトニング | ジェル4本込み | ¥27,500 |
|---|---|---|
| ホワイトニング トレーのみ |
¥22,000 | |
| ホワイトニング ジェル 4本 |
¥8,800 |
1日で白くなる
② オフィスホワイトニング
オフィスホワイトニングとは、院内で行うホワイトニングです。
ホワイトニングご希望の方には、まずはオフィスホワイトニングをおすすめしています。
早く、1日で白くなるのが特徴です。
また前回の施術後から1年以内であれば、ご希望の方に11,000円で再施術(リタッチ)いたします(照射2回)
例えば、半年ごとに再施術を受け続けてずっと白さを保つ事も可能です。
施術後、もう少し白くしたい、半年後にもう一度白くしたいなどのご要望もお気軽にお申し付けください。
| 白くなりやすさ | ★★ |
|---|---|
| 持続期間 | ★ |
| お手軽さ | ★★ |
| 費用 | ★★★ |
オフィスホワイトニングの流れ
-
- カウンセリング、
歯の色のチェック - まずはカウンセリングを行います。
その後、口腔全体の診査と適応症についての確認を行い、現在の歯の色をチェックします。
- カウンセリング、
-
- ホワイトニングジェルの塗布
- 歯茎および唇を保護してから、歯の表面にホワイトニングジェルを塗布します。
-
- 光照射
- 光を10分×3回照射を行います。光照射が終わったら、ホワイトニングジェルをふき取ります。
-
- フッ素の塗布
- うがいの後、歯のコンディションを整え、歯質強化のため中性のフッ素を塗布します。
-
- アフターメンテナンスの説明
- 最後に、アフターメンテナンスの説明を受けたら終了です。
およそ2時間で、6段階~8段階、歯の白さがアップします。
料金
| オフィス ホワイトニング |
1回目 | ¥33,000 |
|---|---|---|
| 2回目 (1年以内) | ¥11,000 | |
| 1歯追加につき | ¥2,200 |
輝く白さ、持続性も高い
③ デュアルホワイトニング
オフィスホワイトニングとホームホワイトニングの両方を行なう方法です。
最も白くなり、持続性も高いです。オフィスホワイトニングの白さとホームホワイトニングによる持続性を兼ね備えたシステムです。
| 白くなりやすさ | ★★★ |
|---|---|
| 持続期間 | ★★★ |
| お手軽さ | ★★★ |
| 費用 | ★ |
デュアルホワイトニングの流れ
医院でオフィスホワイトニングを行った後、ご自宅で専用マウストレーを利用してホームホワイトニングを行います。
料金
| デュアルホワイトニング (オフィス+ホーム) |
¥55,000 |
|---|
ホワイトニングのリスク
・セラミックスや詰め物の色は白くなりません。
・大きいむし歯の歯や歯周病の歯には施術できません。
・1〜2年くらいで元の色に後戻りします。
・短期間の知覚過敏を起こす事があります。
・ホワイトニングから24時間以内は色がつくもの、酸性のものは食べられません。
院長のおすすめ
最初はまずオフィスホワイトニングで歯が白くなる快感を知っていただければと思います。
他院で施術をした事のある方、歯をしっかり白くしたい方はデュアルホワイトニングがおすすめです。
ホームホワイトニングは歯医者さんが苦手で、ゆっくりご自宅で白くしたい方におすすめです。
ホワイトニングを行う前に
ホワイトニング受診前に以下内容につきまして必ずご自身でチェックをお願いいたします。
1つでも当てはまる方は施術前に歯科医師にご相談ください。
ホワイトニング前のチェックリスト
- 歯がしみる。
- 歯がぐらぐらする。
- 歯に虫歯がある。
- 歯の詰め物の色を変えたい。
- (詰め物の色は変わりません。)
- 白さが変わらない方法で白くしたい。
- (ホワイトニングは1~2年で元に戻ります。)
- タバコやワインのヤニが気になる。
- (しっかりクリーニングがおすすめです。)
- 歯がすごく変な色である。
- (病気の可能性があります。)
- 妊娠・授乳中である。
- 神経が無い歯の色が気になる。
- エナメル質・象牙質形成不全症・
テトラサイクリン変色歯などの診断を
受けた事がある。
- 無カタラーゼ症・光アレルギーの既往が
ある。
- ホワイトニングに不安がある。
※ 歯科医師との相談後にホワイトニングの施術を受けられる事をお勧めいたしております。
※ 口腔内の状況により、当日、歯科医師ならびに歯科衛生士の判断で、ホワイトニングの施術ができない場合があります。
※ ホワイトニングは全て前払い制です。予約取得時、または施術前日までのお支払いをお願いいたします。
ウォーキングブリーチ
神経が死んでしまった歯や神経の治療をした後に変色してしまった歯に対して歯の中にホワイトニング剤を入れて漂白する方法です。神経のない歯にしか適応出来ませんが、ホワイトニング効果が出やすい方法です。
治療内容
高濃度の過酸化水素と過ホウ酸ナトリウムのペーストの漂白剤を無髄変色歯(神経を取った歯)の中に封入し、漂白を行います。濃く変色している象牙質に薬剤が直接作用するため、高い漂白効果が期待できます。
料金
| ウォーキングブリーチ | 1回目 | ¥33,000 |
|---|---|---|
| 2回目 | ¥5,500 |
治療期間
3ヶ月程度(治療回数:3、4回程度)
リスク
歯質が薄い場合、破折する可能性があります。また薬剤が象牙細管を通して歯根膜のセメント質に作用した場合、歯根の外部吸収や歯根膜炎を生じる可能性があります。
実際にホワイトニングを行った
治療例
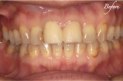
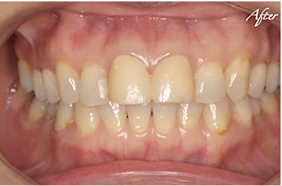
オフィスホワイトニングの症例01
術前

術後

| 治療内容 | オフィスホワイトニング |
|---|---|
| 治療期間 | 1回の来院(1~2時間程度) |
| 治療費 | ¥33,000 |
| 治療のリスク | 徐々に後戻りするため、 定期的な処置を必要とします |
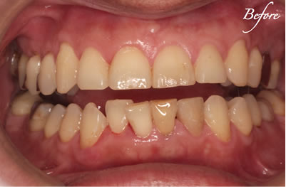
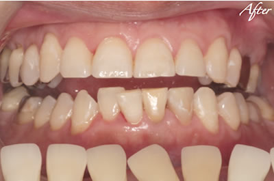
オフィスホワイトニングの症例02
術前

術後

| 治療内容 | オフィスホワイトニング |
|---|---|
| 治療期間 | 1回の来院(1~2時間程度) |
| 治療費 | ¥33,000 |
| 治療のリスク | 徐々に後戻りするため、 定期的な処置を必要とします |